
GIẢI PHÁP THAY KHỚP GỐI TOÀN DIỆN
Hơn Cả Đau Nhức Thể Chất: Khớp Gối Đang Chi Phối Cuộc Sống Của Bạn Như Thế Nào?
Khớp gối đau, cứng và sưng khiến việc đi lại, leo cầu thang hay đứng lên ngồi xuống trở nên khó khăn.
Người bệnh dần phụ thuộc vào người thân, mất đi sự tự chủ trong sinh hoạt hằng ngày.
Cơn đau kéo dài khiến người bệnh mệt mỏi, mất ngủ, giảm hứng thú với cuộc sống.
Khi không thể làm việc hay vui chơi như trước, họ dần cảm thấy tự ti, cô lập và buồn bã.
Cơn đau xuất hiện cả khi nghỉ ngơi, âm ỉ về đêm và tăng khi vận động, khiến người bệnh kiệt sức.
Không chỉ thể xác, mà tinh thần cũng bị bào mòn theo từng ngày vì đau mãn tính.

GIẢI PHÁP THAY KHỚP GỐI TOÀN DIỆN
BHYT CHI TRẢ 80-100%
DrKnee hỗ trợ BHYT chi trả lên đến 45 triệu đồng, giúp giảm gánh nặng tài chính mà vẫn đảm bảo chất lượng phẫu thuật cao cấp.
Các ca thay khớp gối của DrKnee được thực hiện tại Bệnh viện Nam Sài Gòn, đạt chuẩn của Bộ Y tế về cơ sở vật chất, vô khuẩn và an toàn.
PHẪU THUẬT THAY KHỚP GỐI KHÔNG ĐAU TRƯỚC-TRONG VÀ SAU KHI MỔ
Sau phẫu thuật, bệnh nhân được theo dõi sát sao và phục hồi chức năng chuyên biệt.

Ths.Bs Nguyễn Tuấn Định Trực Tiếp Mổ
Chuyên gia chấn thương chỉnh hình
Tốt nghiệp Đại học Y Dược TPHCM, du học nhiều nước ở Pháp, Đức Úc,...Hơn 13 năm kinh nghiệm chấn thương chỉnh hình.Kinh Nghiệm Thực Tiễn Dày Dặn
Ông là nguyên Giảng Viên ĐH Y Dược TPHCM, công tác tại nhiều BV lớn như CTCH, Chợ Rẫy, FVTận tâm & uy tín với bệnh nhân
Ths.Bs Định trực tiếp thăm khám và tư vấn cho bệnh nhân. Hướng dẫn hỗ trợ bệnh nhân trước và sau phẫu thuật.

PHÒNG CHO BỆNH NHÂN THAY KHỚP
Bệnh nhân có thể lựa chọn loại dịch vụ theo nhu cầu

Phòng Bệnh Thường

Phòng Bệnh Đôi

Phòng Bệnh Đơn
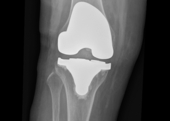
HÌNH ẢNH SAU THAY KHỚP GỐI










CÁC CÂU HỎI THƯỜNG GẶP VỀ THAY KHỚP GỐI
Thông thường, bệnh nhân có thể bắt đầu tập đi nhẹ nhàng sau 2–3 ngày và hồi phục gần như hoàn toàn sau 6–8 tuần.
Phẫu thuật được gây tê hoặc gây mê hoàn toàn nên bệnh nhân hầu như không cảm thấy đau trong quá trình mổ. Sau mổ, cơn đau được kiểm soát bằng thuốc và vật lý trị liệu.
Khớp gối nhân tạo hiện nay có thể bền từ 15–20 năm, thậm chí lâu hơn nếu chăm sóc và luyện tập đúng cách.
Có. DrKnee hỗ trợ tối đa quyền lợi BHYT, giúp bệnh nhân giảm đáng kể chi phí phẫu thuật.
Tùy tình trạng từng người. Bác sĩ sẽ đánh giá mức độ tổn thương để chỉ định thay một hoặc cả hai khớp, đảm bảo an toàn và hiệu quả nhất.